PROSTHETICS
ENDODONCIST
GLASS FIBERS
RESTORATIVE DENTISTRY
DENTAL HYGIENE
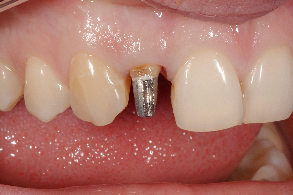
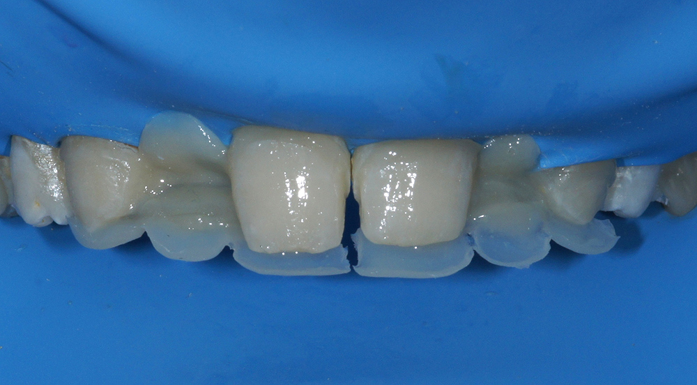
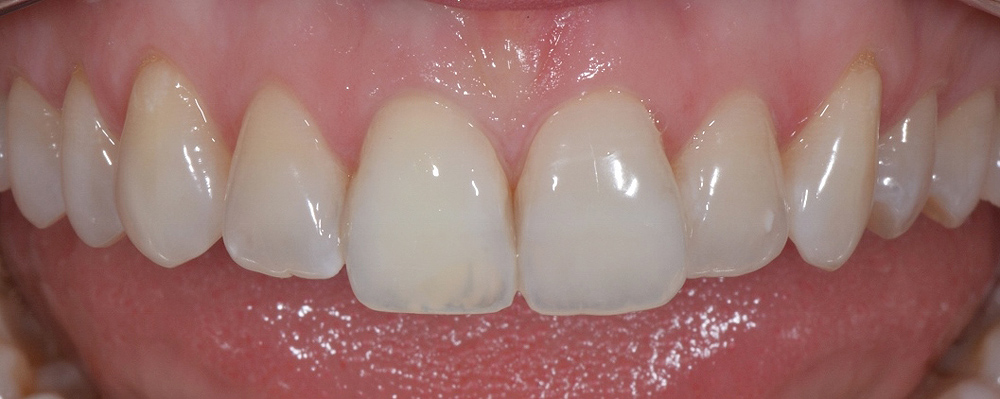
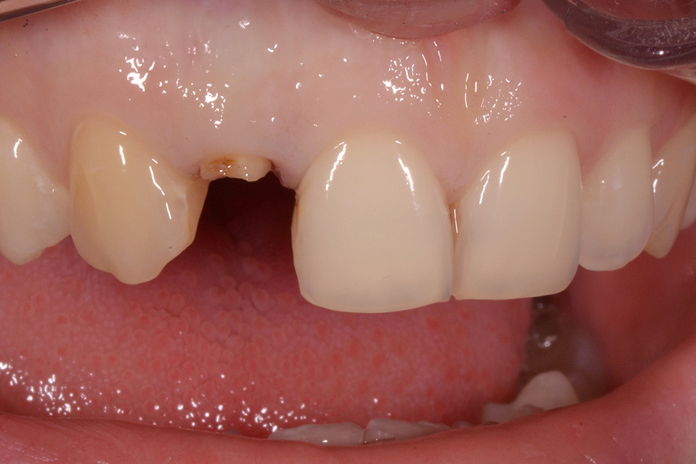
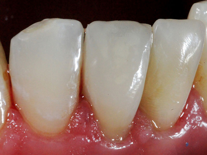
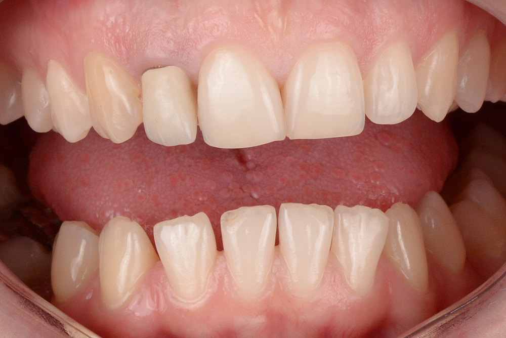
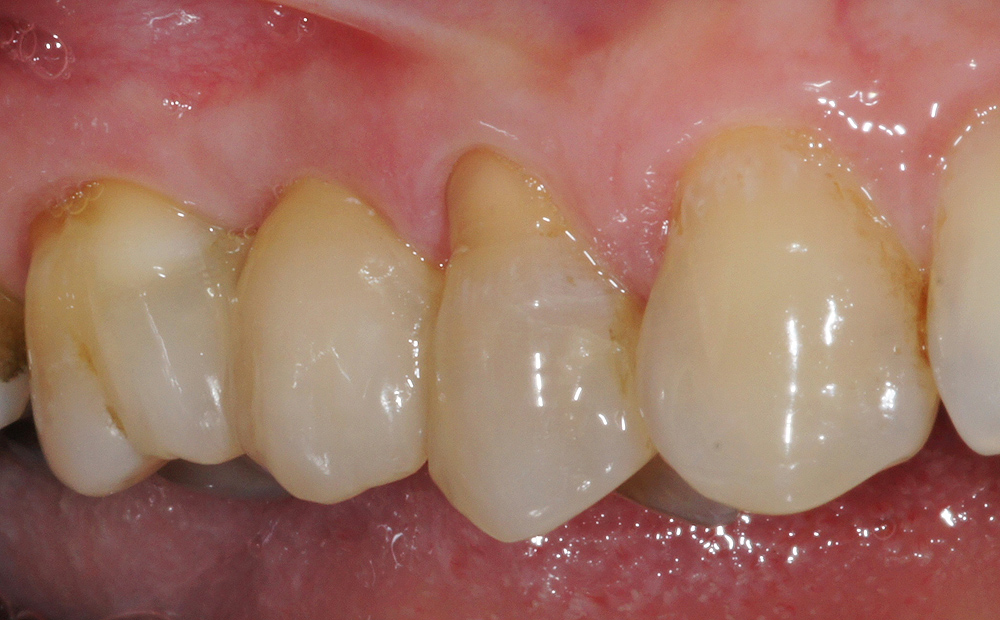
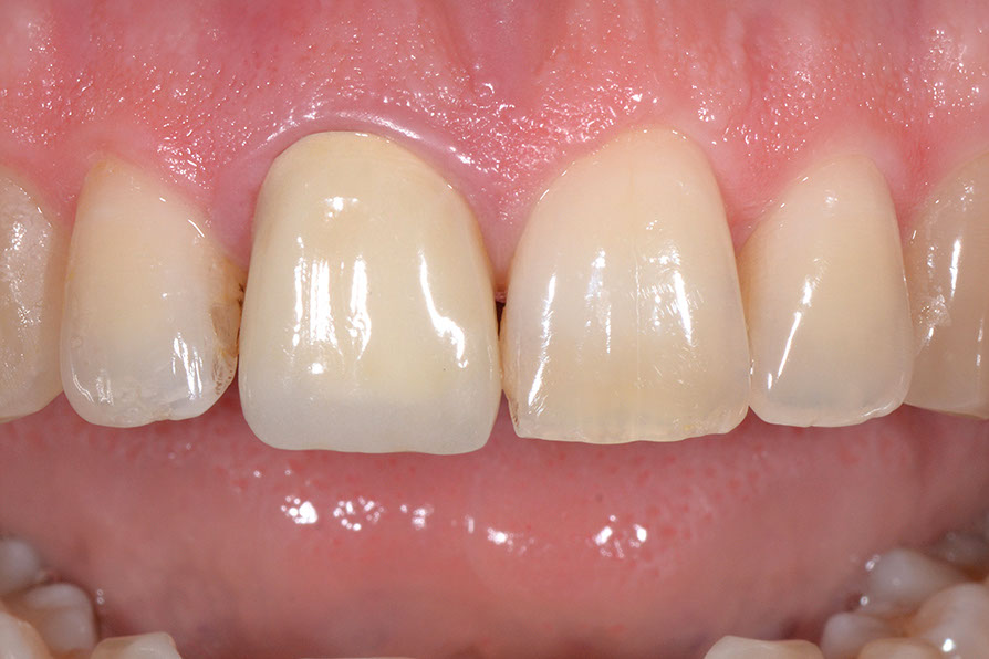
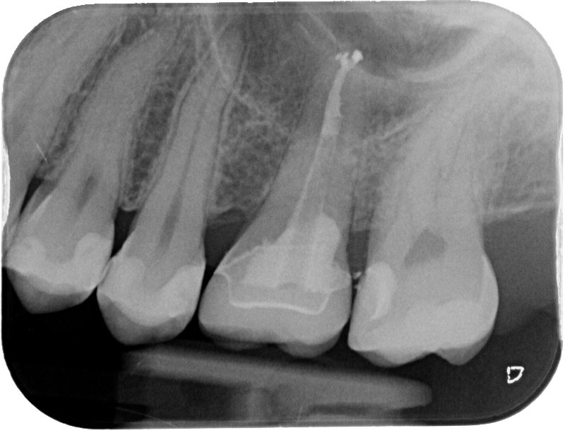
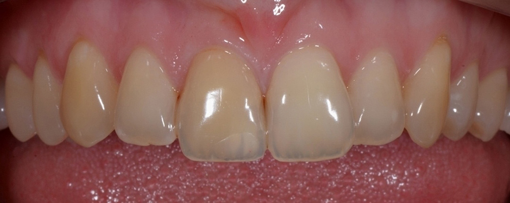
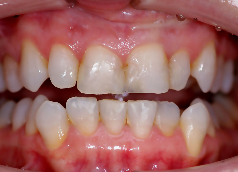
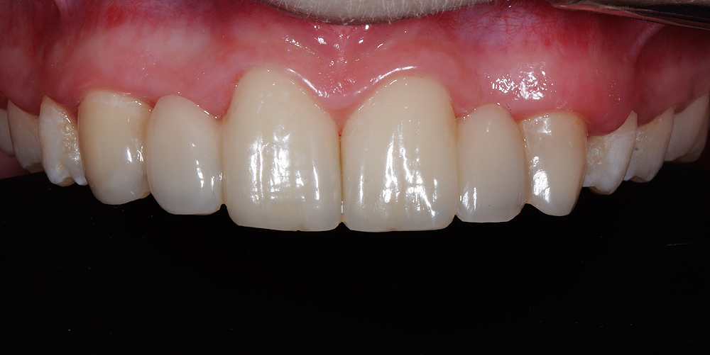
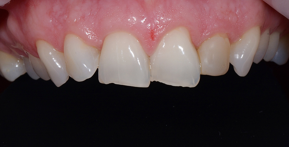
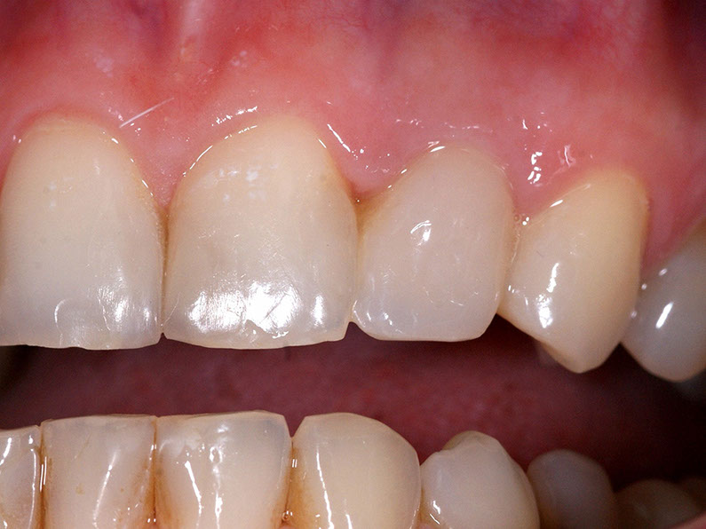
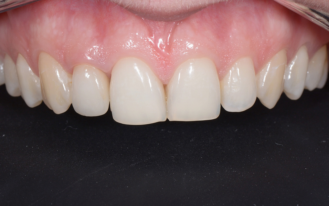
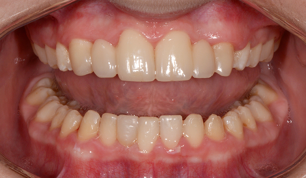
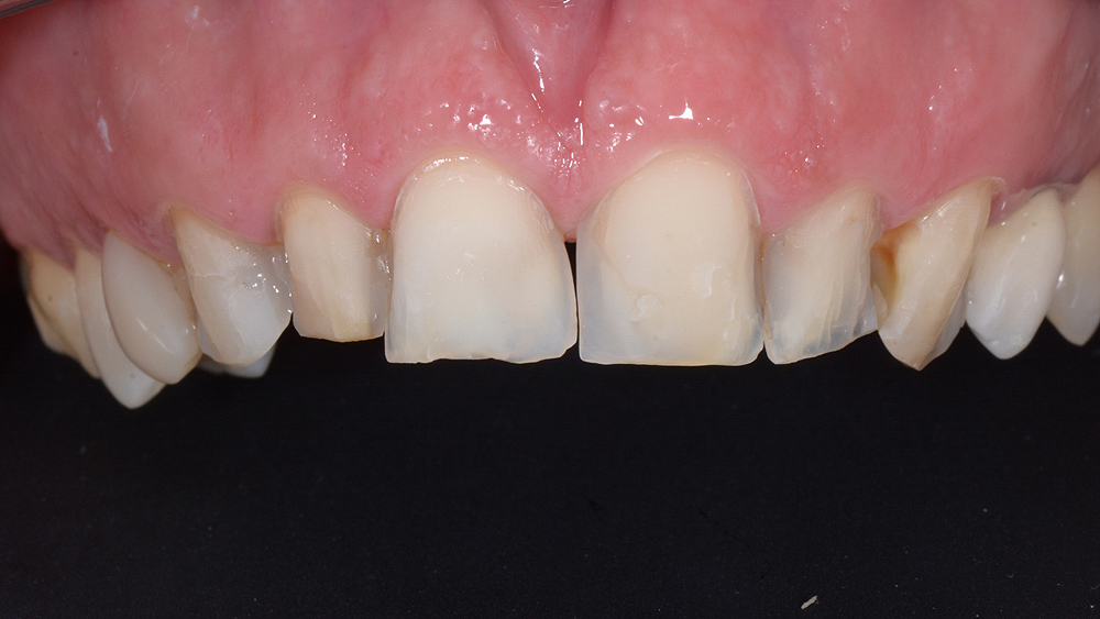
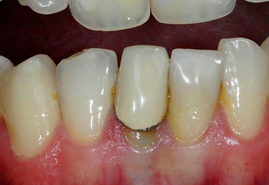
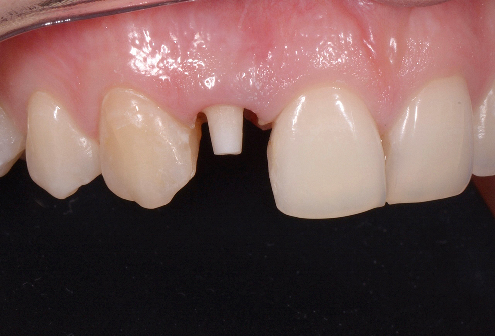
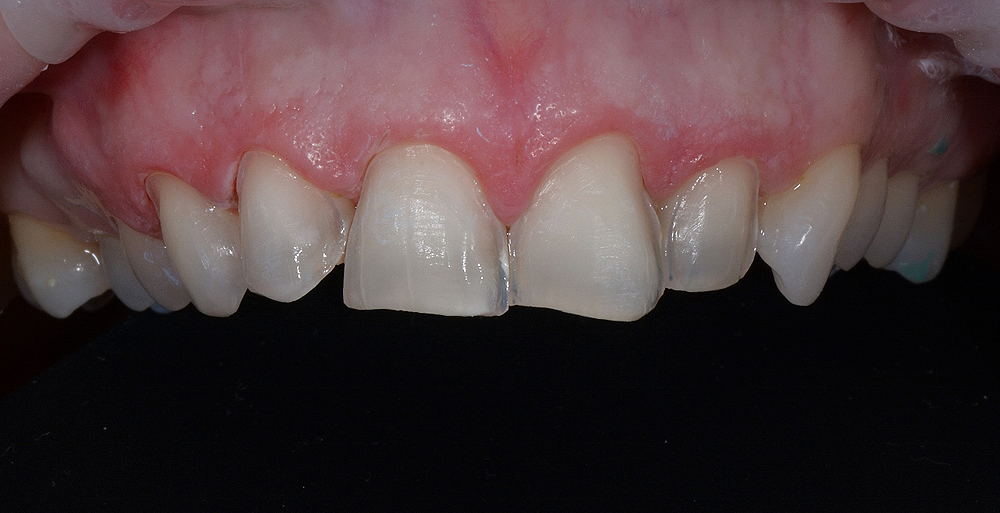
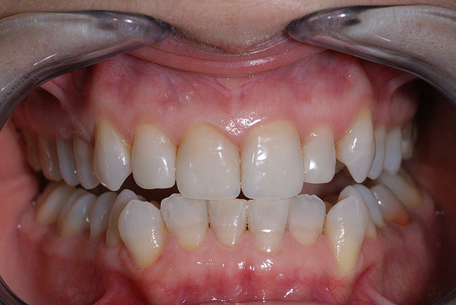
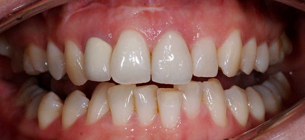
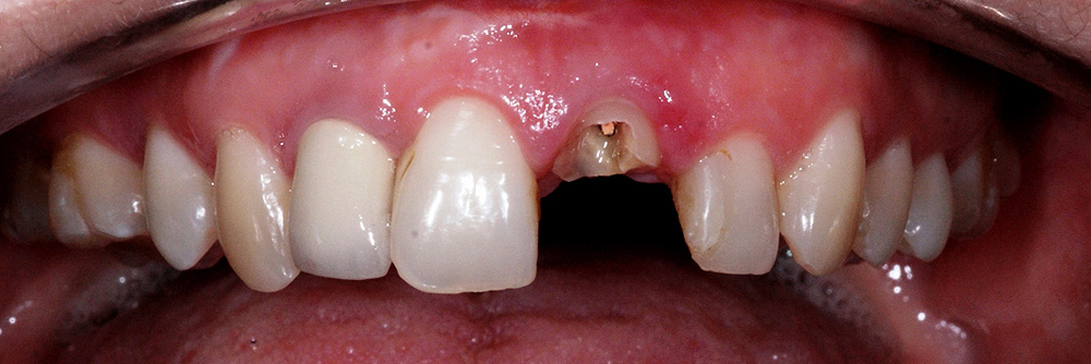
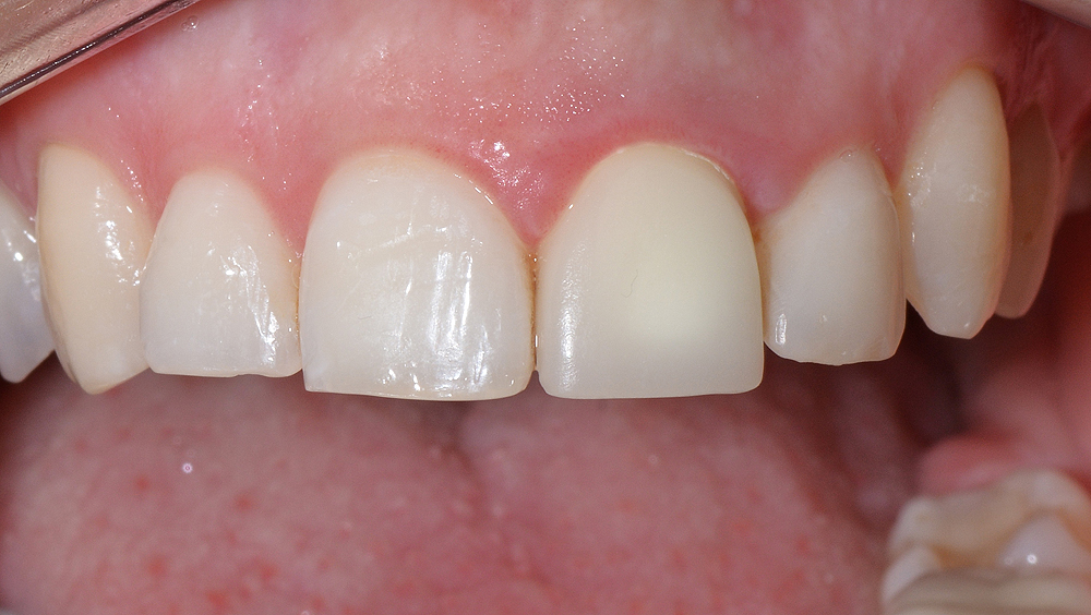
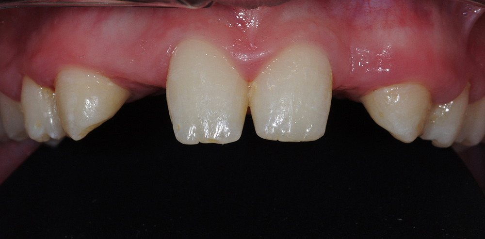
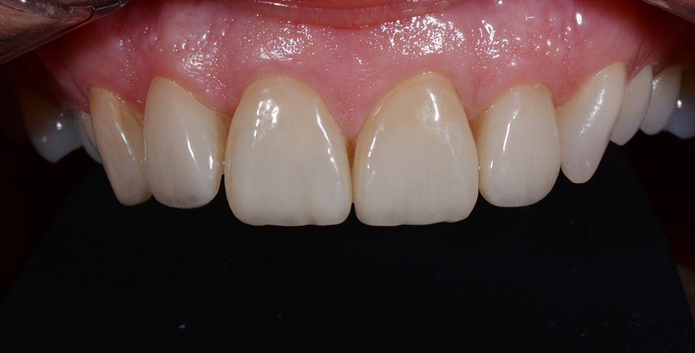
Full ceramic crown after post removal and root canal retreatment
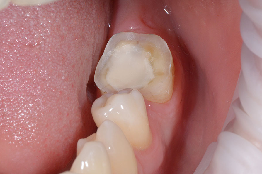
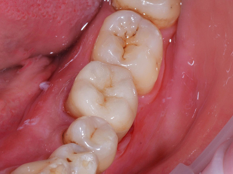
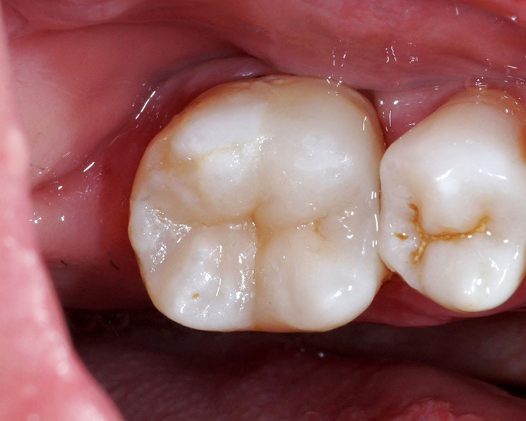
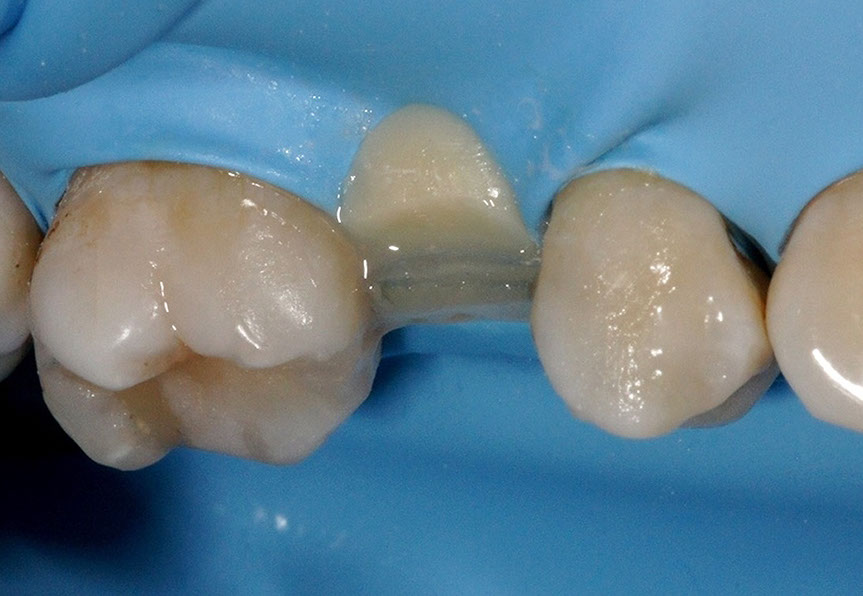
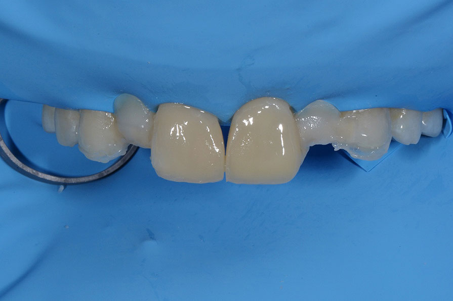
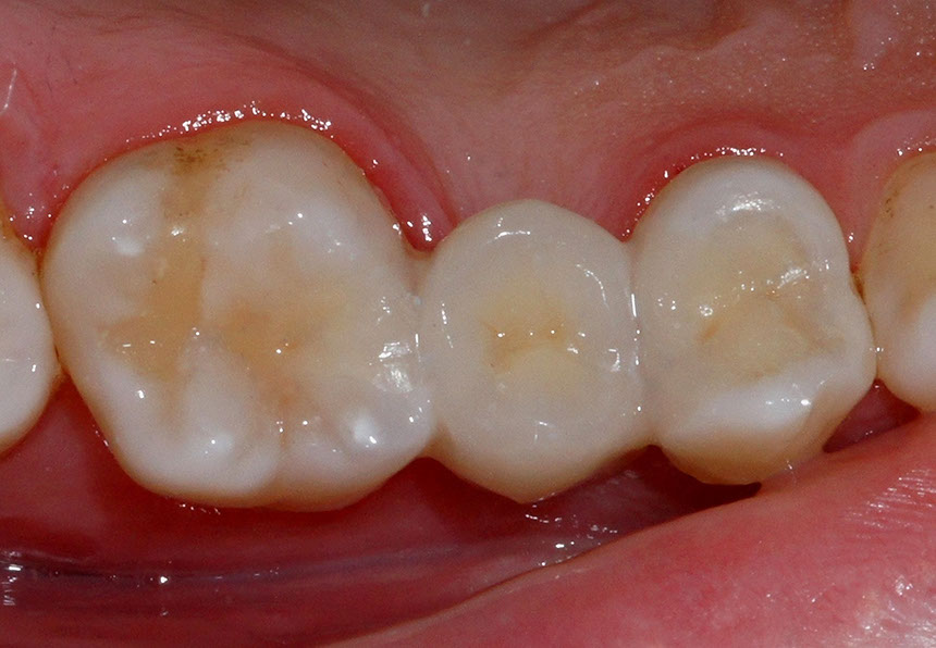
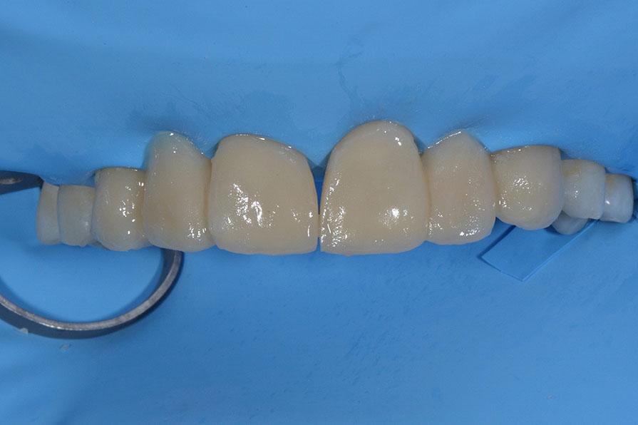
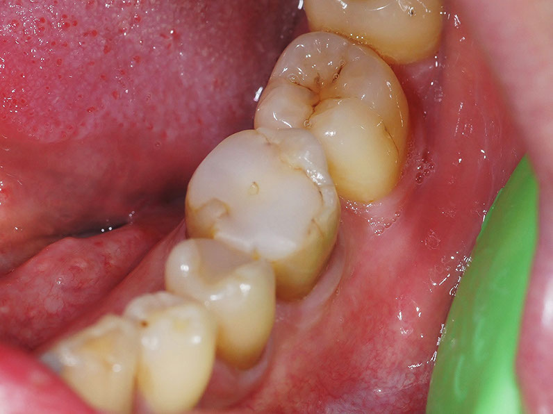
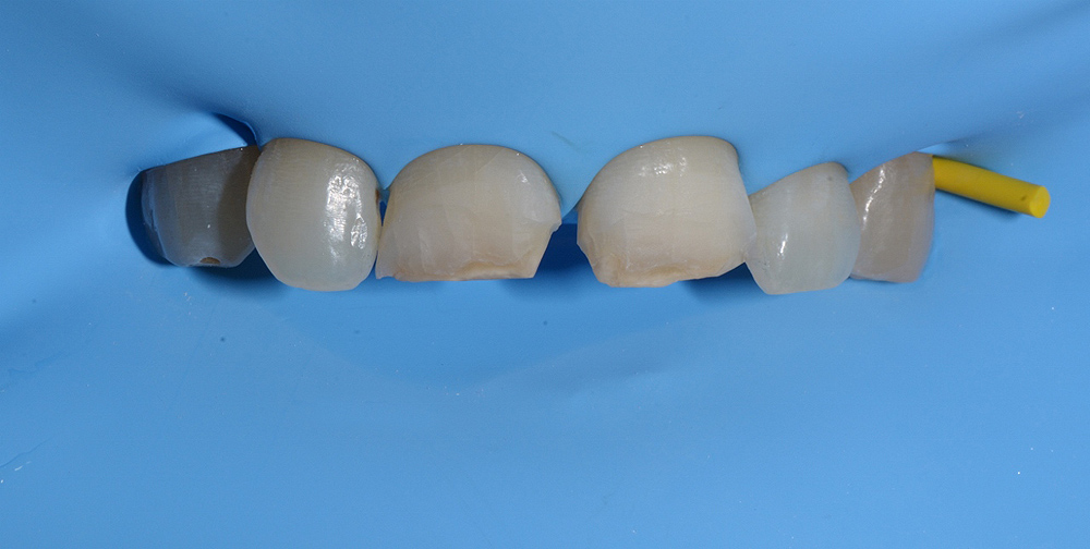
Ceramic E‐max onlay by CEREC N.1
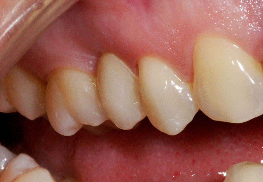
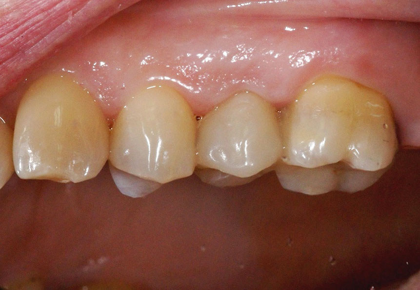
Ceramic E‐max onlay by CEREC N.2
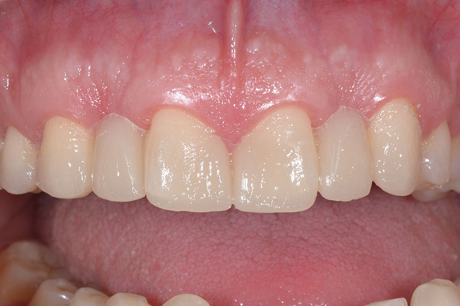
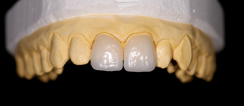
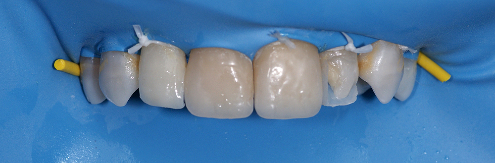
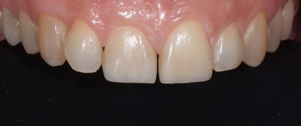
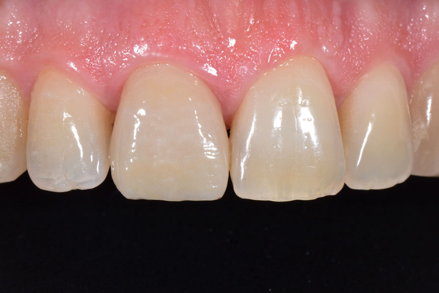
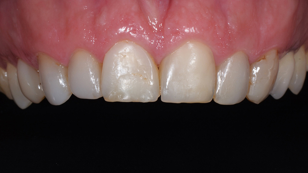
Ceramic veneers 1
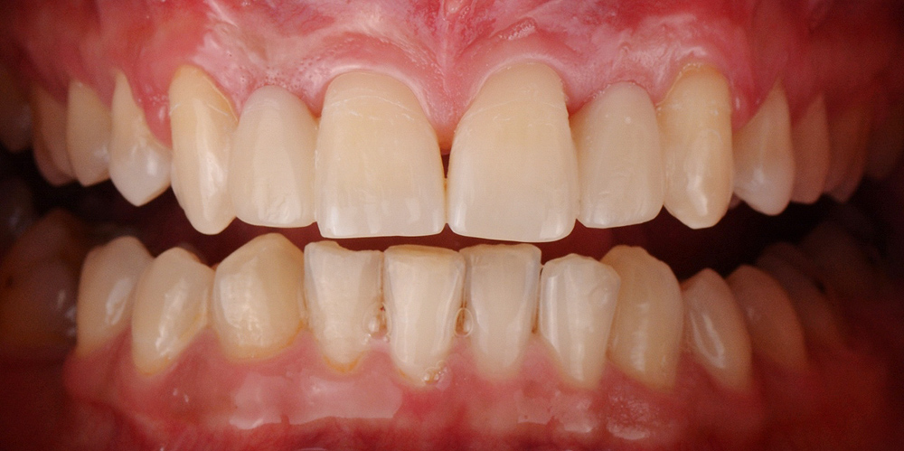
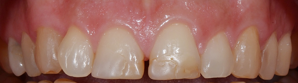
Ceramic veneers 2
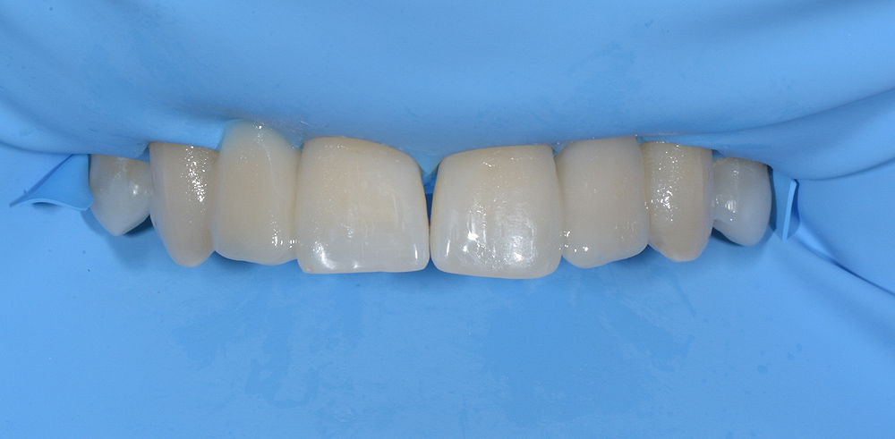
Indirect composite veneers
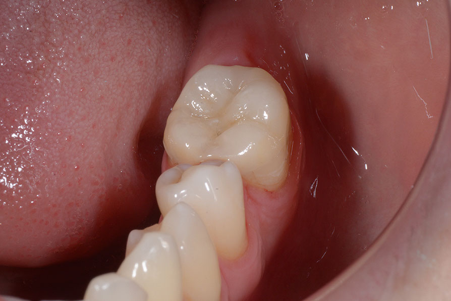
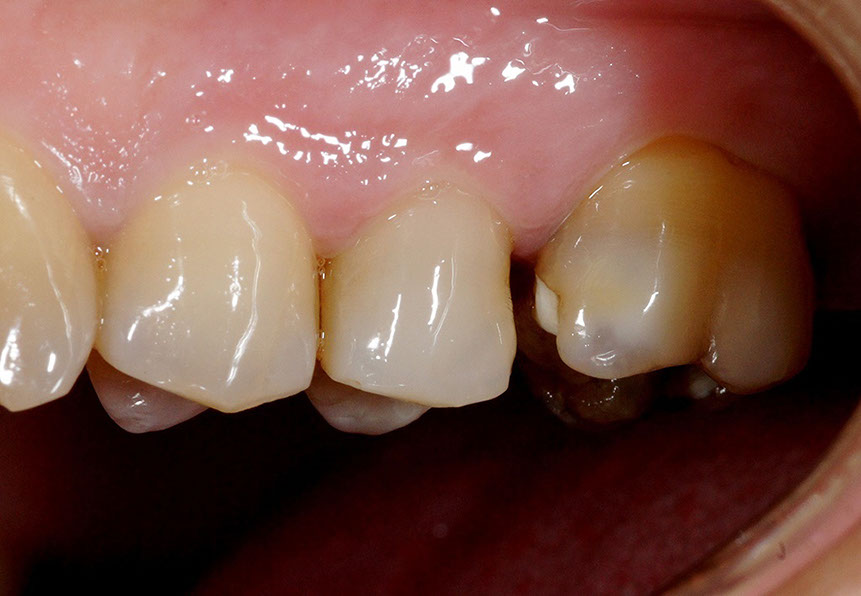
Replacing old crown using CEREC 1
Replacing old crown using CEREC 2
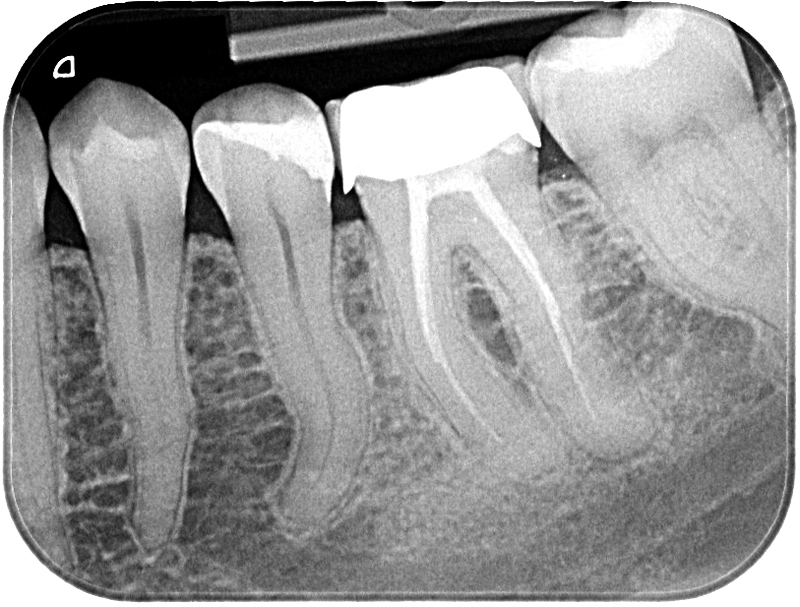
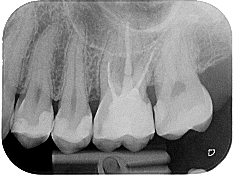
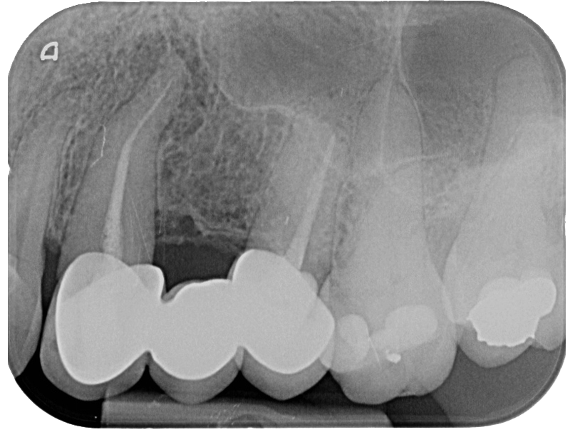
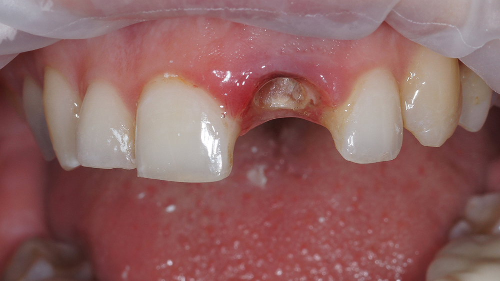
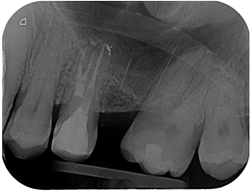
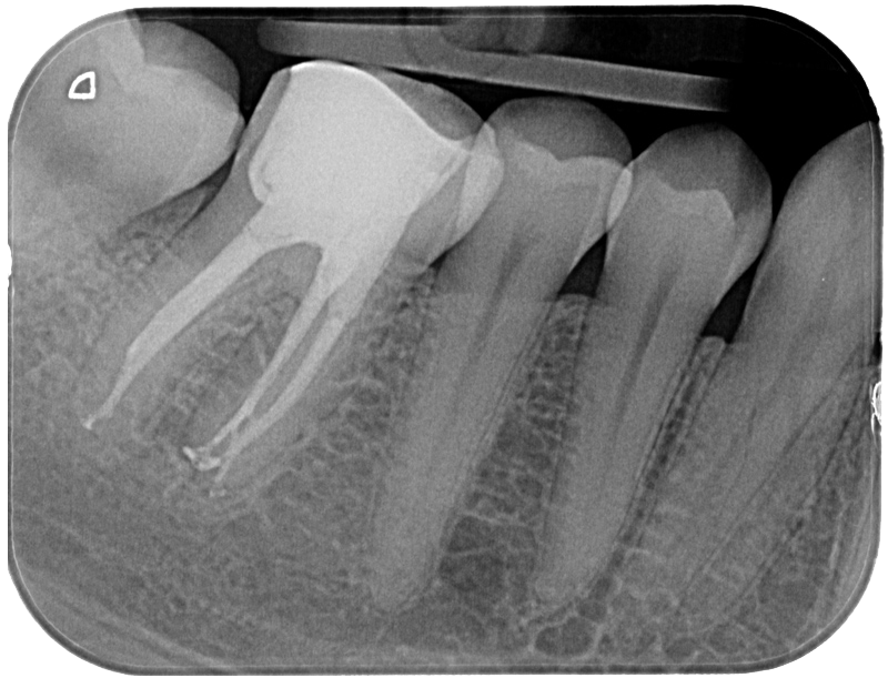
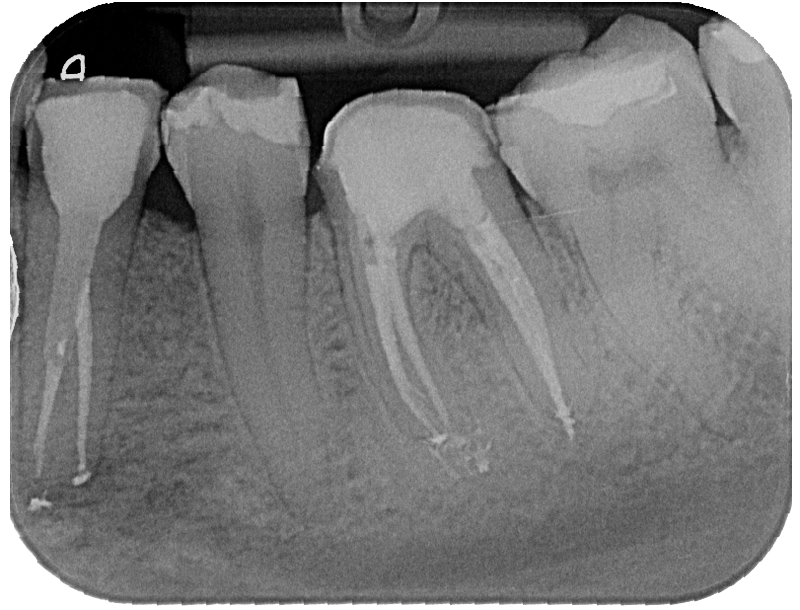
Root canal retreatment 1
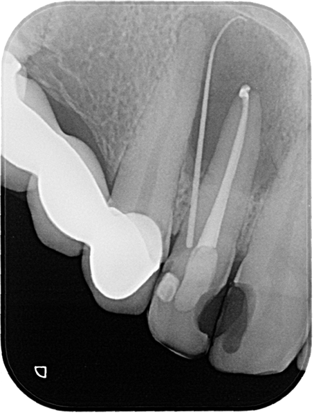
Root canal retreatment 2
Root canal retreatment 3
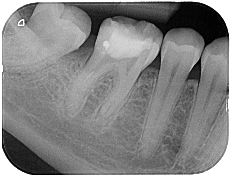
RCT of rare 3 canals in second upper premolar
Hemisection of upper molar
RCT of missed canal in first lower premolar
Broken file in root canal is not a reson for extraction
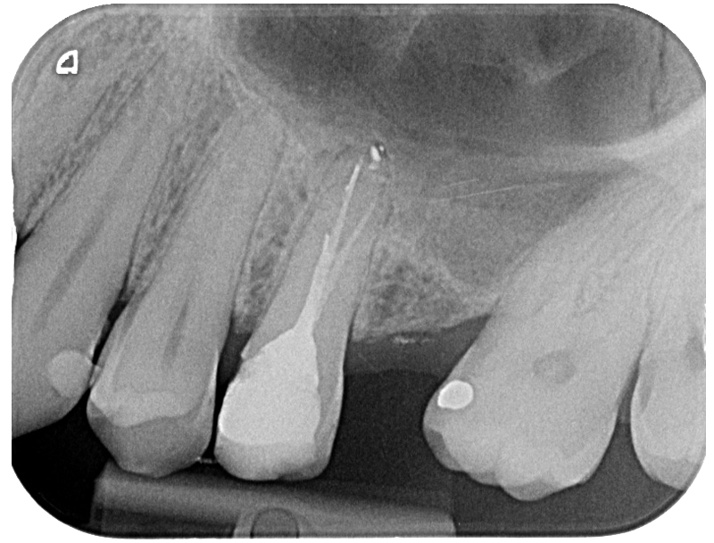
Healing of huge periapical lesion after endo
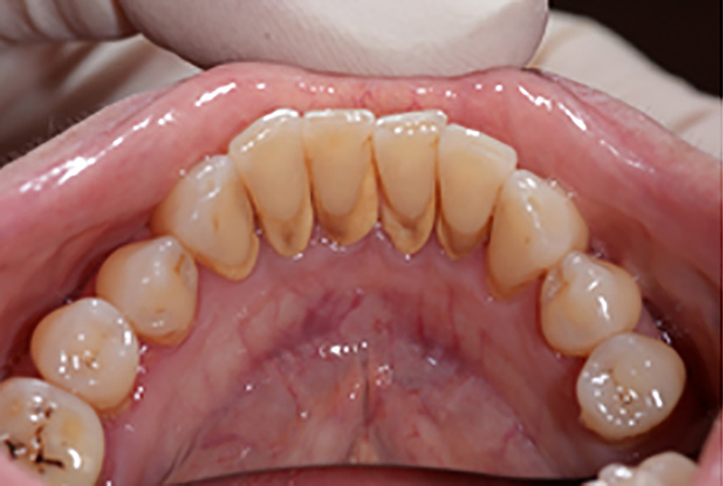
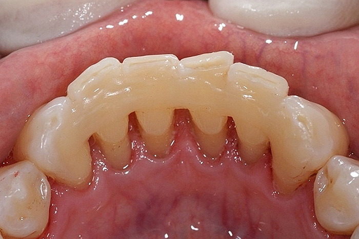
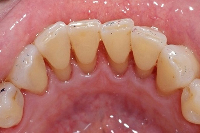
Lower lingual splint
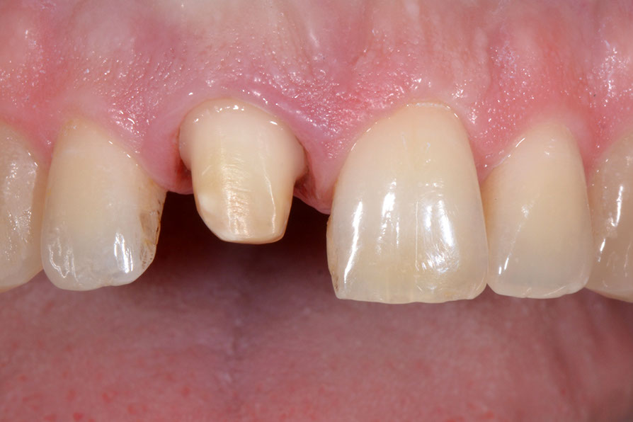
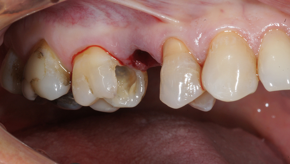
Glassfiber bridge in front
Distal glassfiber bridge
Glassfiber bridges and direct composite veneers
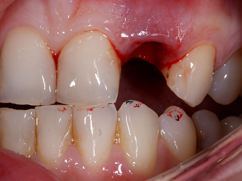
Glassfiber bridge done at the same appointment with extraction 1
Glassfiber bridge done at the same appointment with extraction 2
Glassfiber bridge done at the same appointment with extraction 3
Glassfiber bridges and direct veneers done by DSD
Replacing old crown by glassfibers reinforced composite restoration
Direct composite veneers
Glassfibers reinforced composite restoration of upper central
Direct composite post‐endo restrostoration
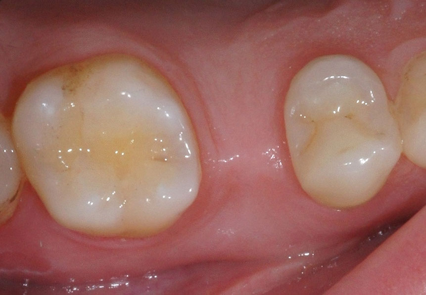
Direct molar restoration using shortfibers composite
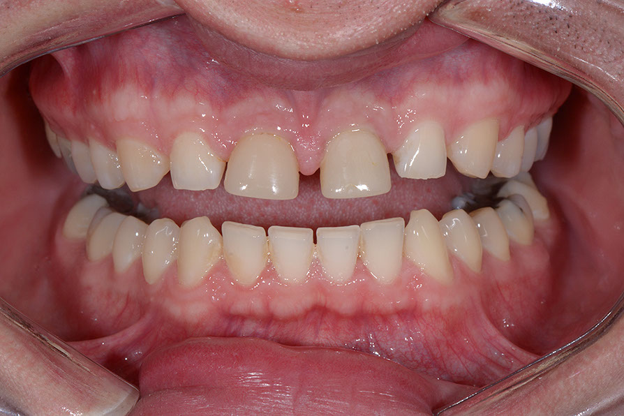
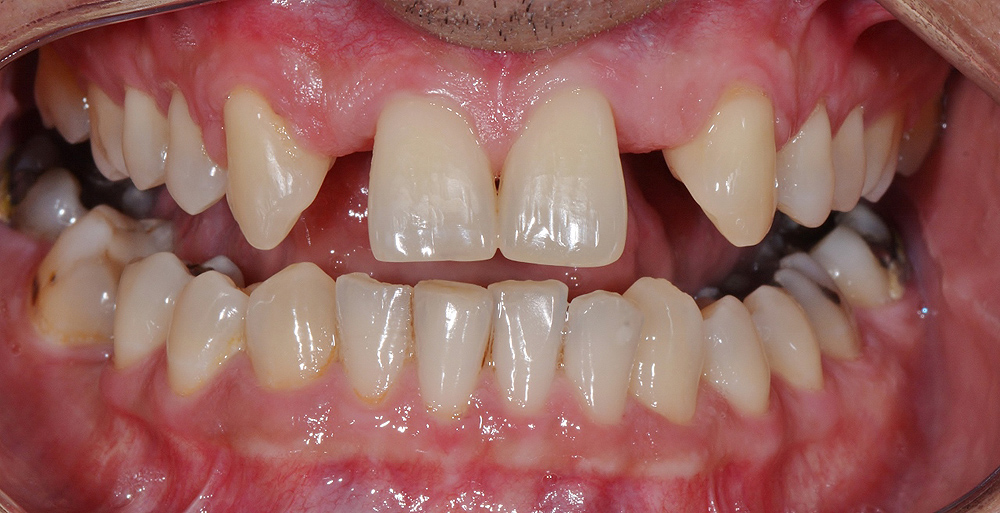
Direct diastema closure and elongation of teeth
Frontal restorations
Distal restorations 1
Distal restorations 2
Walking bleach of devital tooth + overal night bleaching
Home night bleaching
Professional teeth cleaning
Copyright © 2015 DENTAPEX. All Rights Reserved.