PROSTHETICS
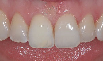
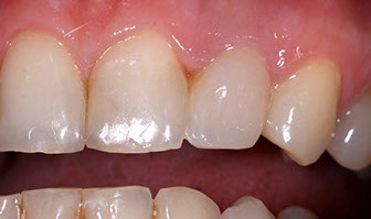
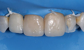
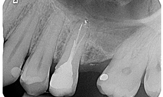
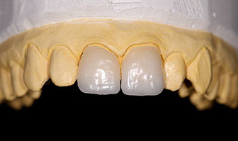
Full ceramic
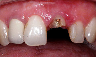
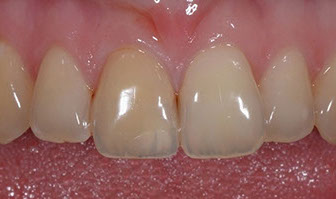
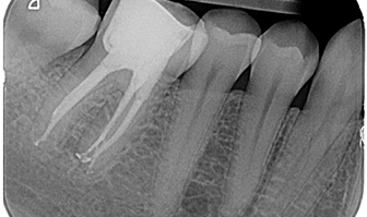
Full ceramic crown after post removal and root canal retreatment
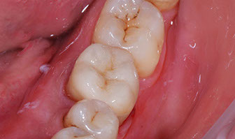
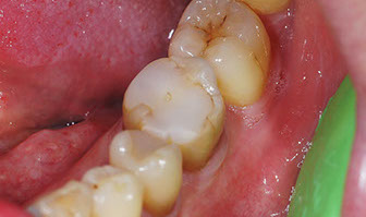
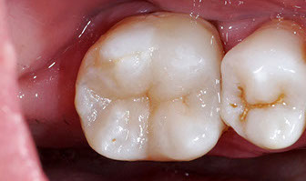
Ceramic E‐max onlay by CEREC N.1
Ceramic E‐max onlay by CEREC N.2
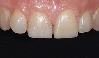
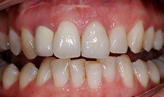
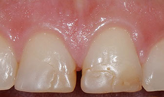
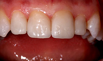
Ceramic veneers 1
Ceramic veneers 2
Indirect composite veneers
Replacing old crown using CEREC 1
Replacing old crown using CEREC 2
ENDODONCIST
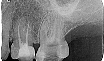
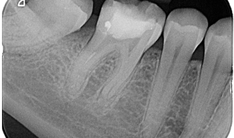
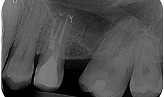
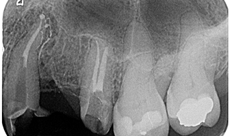
Root canal retreatment 1
Root canal retreatment 2
Root canal retreatment 3
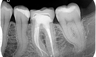
RCT of rare 3 canals
RCT of rare 3 canals in second upper premolar
Hemisection of upper molar
RCT of missed canal
in first lower premolar
Broken file in root canal
Broken file in root canal is not a reson for extraction
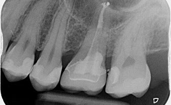
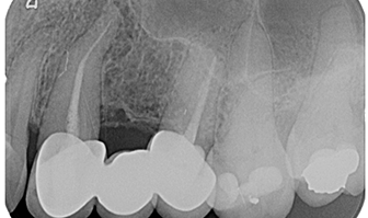
Healing of huge periapical lesion after endo
GLASS FIBERS
Lower lingual splint
Glassfiber bridge in front
Distal glassfiber bridge
Glassfiber bridges
Glassfiber bridges and direct composite veneers
Glassfiber bridge 1
Glassfiber bridge done at the same appointment with extraction 1
Glassfiber bridge 2
Glassfiber bridge done at the same appointment with extraction 2
Glassfiber bridge 3
Glassfiber bridge done at the same appointment with extraction 3
Glassfiber bridges and direct veneers
Glassfiber bridges and direct veneers done
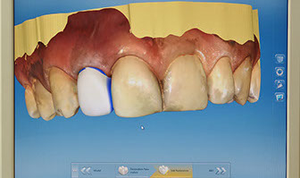
by DSD
RESTORATIVE DENTISTRY
Replacing old crown by glassfibers
Replacing old crown by glassfibers reinforced composite restoration
Direct composite veneers
Glassfibers reinforced
Glassfibers reinforced composite restoration
of upper central
Direct composite post‐endo restrostoration
Direct molar restoration
Direct molar restoration using shortfibers composite
Direct diastema closure
Direct diastema closure and elongation of teeth
Frontal restorations
Distal restorations 1
Distal restorations 2
DENTAL HYGIENE
Walking bleach of devital tooth
Walking bleach of devital tooth
+ overal night bleaching
Home night bleaching
Professional teeth cleaning
CONTACT
DENTAPEX
MUDr. Rudolf Novotný
Námestie osloboditeľov 3/A
Duett 1, 9. floor
040 01 Košice
e-mail: novotny@dentapex.sk
web: www.dentapex.sk
OFFICE HOURS
Surgery
Monday – Friday:
08:00 – 16:00
Dental hygiene
Monday – Thursday:
08:00 – 16:00
PHONE
+ 421 55 622 56 98
+ 421 918 516 554
Copyright © 2015 DENTAPEX. All Rights Reserved.